В Ужгороді медики-практики та науковці знайомляться з діагностикою та хірургічним лікуванням пухлин мозку та нервової системи

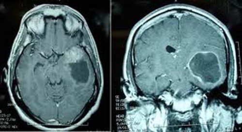
Сьогодні в Ужгороді розпочала свою роботу Міжнародна науково-практична конференція «Актуальні питання нейроонкології». Майже півтори сотні радіологів, рентгенологів, нейрохірургів та невропатологів з України, Угорщини, Словаччини і Білорусії зібрались, щоб обговорити сучасні можливості магнітно-резонансної томографії та комп’ютерної томографії у діагностиці онкологічних захворювань головного та спинного мозку дітей та дорослих. Окремо йтиметься про сучасні методики лікування онкопатологій . В рамках конференції передбачено низку круглих столів та панельних дискусій.

Фахівці-медики та науковці ділитимуться своїм досвідом та вивчатимуть напрацювання колег у діагностиці та хірургічному лікуванні внутрішньо мозкових пухлин та пухлин нервової системи.

Захід проходить під головуванням президента Всеукраїнської асоціації рентгенологів України д.м.н. проф. Олени Шармазанової. Учасників конференції привітав по скайпу заступник міністра охорони здоров’я України Роман Ілик.

Організатори конференції: Асоціація радіологів України, Всеукраїнська асоціація рентгенологів, Обласна дитяча лікарня м. Мукачево, ТзОВ «Сіменс медицина» м. Київ, Гуманітарна місія «SARA» (США), ТОВ МЦ «Діамед» м. Ужгород, Асоціація рентгенології Закарпаття, Асоціація нейрохірургії Закарпатської області, Факультет охорони здоров’я Пряшівського університету (Словацька Республіка), Факультетська лікарня з поліклінікою ім. Й.А . Реймана у Пряшові (Словаччина).
До теми
- Музейний лекторій: русалки, мавки, повітрулі, потерчата у світогляді закарпатців
- Втрачений Ужгород: будівля ощадної каси
- Історія одного пам’ятника в Ужгороді: «Весна» Михайла Михайлюка
- Богдан Андріїв: "Щиро вітаю всіх християн, які сьогодні відзначають Світле Воскресіння Христове!"
- Ужгород готується до піку цвітіння сакур
- В Ужгородському скансені буде новий об'єкт — німецька (швабська) каплиця зі Жденіївської громади
- Ужгород наприкінці ХІХ століття: в мережі показали унікальні фото
- Ужгород у передчутті сакурового цвітіння: місто вже наповнюється весняними барвами
- Втрачений Ужгород: музеї та цінності, які втратило місто
- Від стародруків до імператорських указів: раритети із фондів обласного краєзнавчого музею
- В обласному центрі стартував основний етап міського конкурсу «Ужгород очима школярів»
- Втрачений Ужгород: загадка найстарішої замкової фрески (Фото)
- Більше 500 унікальних екземплярів і століття історії: де побачити колекцію фотоапаратів в Ужгороді
- «Традиційні головні убори та зачіски Закарпаття кінця ХІХ – першої половини ХХ ст.»: книжка за донат
- Втрачений Ужгород: життєві картини, побачені з мосту
- Тут знають всіх учнів по іменах: як живе ужгородська школа №13
- Щаслива статистика: в Ужгороді у лютому народилися 170 малюків
- Втрачений Ужгород: правила корчм і кав’ярень XIX століття
- Про що писали газети 100 років тому (лютий)
- Десерт без цукру: як в Ужгороді в «Cake studio» створюють нову культуру солодкого

До цієї новини немає коментарів