У Закарпатській обласній дитячій лікарні застосовують сучасні малотравматичні методики для лікування деформацій кісток

В ортопедо-травматологічному відділенні Закарпатської обласної дитячої лікарні використовуються сучасні, малотравматичні методики лікування деформацій у дітей та підлітків, що забезпечують природний ріст кісток та повну рухливість кінцівок.
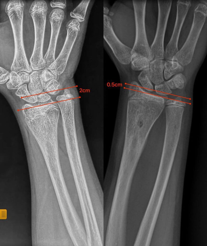
Нещодавно до відділення звернулися батьки 12-річної дівчинки з іншої області з післятравматичною деформацією кісток передпліччя. Лікарі виявили, що ріст кістки порушився через утворення кісткового мостика, який заважав росту кістки та деформував її.

Під час операції спеціалісти видалили кістковий місток під контролем ендоскопа. Такий малотравматичний підхід дозволив відновити природний ріст кістки без складних остеотомій чи встановлення металоконструкцій.
Через сім місяців передпліччя дівчинки повністю відновило форму, ріст кістки нормалізувався, а рухливість кінцівки збережена.

Цей випадок демонструє, що не всі деформації потребують складних оперативних методик: іноді достатньо усунути першопричину порушення росту, щоб кістка розвивалася природним шляхом.
До теми
- 45 історій успіху: вчителі Закарпаття, які у 2025 році підтвердили свій професіоналізм
- Повідомив про «бомбу» у рюкзаку: поліція Берегівщини затримала зловмисника за неправдиве інформування про загрозу
- На Закарпатті презентували документальний фільм про закриту спільноту ромів-калдерарів
- Керував у стані сп'яніння: мукачівські патрульні притягнули до відповідальності порушника
- У поліції Закарпаття нагородили переможців творчого конкурсу «16 днів — 16 кроків до світу без насильства»
- Вифлеємський вогонь миру передали у Закарпатську ОВА
- В українця, що повертався зі Словаччини, прикордонники знайшли наркотичну речовину
- Поліція Іршави затримала зловмисника, який у стані сп’яніння скоїв смертельну ДТП
- 8 000$ за трансфер річкою до Румунії: на Закарпатті правоохоронці затримали двох причетних до переправлення
- 6 років ув'язнення замість «легких заробітків» через соцмережі: у Мукачеві прокуратура довела вину чоловіка, який підпалив авто на замовлення
- Поліція Закарпаття звертає увагу батьків на небезпечні розваги підлітків
- Поліція Закарпаття розслідує смертельну ДТП за участі нетверезого водія у Тячеві
- Відучора з Ужгорода щодня курсує нічний поїзд до Відня
- «Біблія – найвідоміша книга світу»: виставка в Ужгородському замку
- Звернення 14-річної дівчинки про допомогу: представник Омбудсмана перевірив умови проживання родини на Великоберезнянщині
- Завдяки пильності громадян в Ужгороді затримано «закладчицю» - поліція
- На Закарпатті за тиждень засуджено організатора і переправницю, які намагались нажитись на переправленні ухилянтів
- На Закарпатті прикордонники першими зустріли Вифлеємський вогонь миру
- До Дня чаю в Ужгородському замку відбудеться тематична лекція
- 9,6 років за напад у дворі багатоповерхівки - в Ужгороді засуджено грабіжника, який напав на чоловіка

До цієї новини немає коментарів